Cancer patients require constant vigilance. IntelliSpace Portal provides tools to help you evaluate the stage and treatment response at multiple time points – and efficiently perform essential follow‑ups.
Advanced 3D and graphical tools help you store, present, and communicate clinical information to support diagnostic confidence and productive collaboration.
One application for the assessment of selected anatomies
CT Acute MultiFunctional Review (AMFR) provides dedicated tools for findings detection, visualization and assessment of vessels, bones and spine anatomies in 2D and 3D CT images.

Benefits
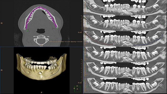
Planning for oral surgery
In maxillofacial trauma cases, the course of treatment can often only be decided after a surgical consult. CT Dental Planning is designed to support enhanced surgical planning, and facilitate collaboration between radiologists and surgeons.

Benefits
Visualize data from dual-energy acquisition
CT Dual Energy Viewer provides a set of tools for registration, quantification, and visualization of dual-energy image data acquired from the Philips iCT scanner’s sequential dual-energy acquisition.

Benefits
Initial viewing platform for advanced analysis needs
Supports study review, side-by-side comparison, series arrangement as well as 2D and 3D manipulation of MR, CT, PET, NM, US, DX, CR, RF and XA images.

Benefits
* This requires specific plug-in installation on the ISP client which integrates with the Philips Cath-lab systems.
Access to advanced DICOM viewing anywhere
Provides a clinically rich viewing environment, such as quick prior comparison with automatic registration, MPR and Volume modes and Key images workflow. The HTML based viewer allows access anywhere to imaging data stored and created on IntelliSpace Portal outside and inside the hospital.

Benefits
* The viewer is not intended for diagnostics image review. Viewer is supported on OS X 10.10 and Windows 7,10 using: Internet Explorer, Chrome, Edge, Safari. Functionality is not available in IX workstation configuration.
Dedicated workflow with automated calculation of whole liver volume
Offers a dedicated workflow to support the assessment of liver diseases from MRI biomarkers such as Fat Fraction (FF) or T2*/R2*. It provides automatic segmentation of the whole liver on T1 weighted images as well as 3D visualization and parametric quantification of liver segments and user-defined regions of interest.

Benefits
Generate new clinical insights
NM JETPack Application Suite for general MI includes a complementary set of organ-specific applications to meet the current and evolving needs of MI users, including endocrine, gastric, hepatobiliary, lung, neuro, renal, and whole-body and bone applications.

Benefits
Streamline Molecular Imaging workflow
Offers comprehensive analysis and processing protocols for planar and SPECT studies including renal, lung, whole-body and bone, cardiac (first pass, shunt, and MUGA), gastric, esophageal, hepatobiliary, and endocrine applications.

Benefits
Contrast arterial structures with surrounding bone and soft tissue to assist in identification of vascular abnormalities
The XA Vascular Processing – DSA (in MMV) expands your workflow by allowing you to read and post-process iXR images virtually anywhere. Obtain images of arteries in various parts of the body using tools to perform standard and run subtractions, pixel shifting, and landmarking. This application also provides post-processing tools to edit and optimize the DSA XA data created in the interventional room.

Benefits
You are about to visit a Philips global content page
ContinueВеб-сайт призначений лише для лікарів та медичних працівників, які використовують медичне обладнання в своїй професійній діяльності; осіб, які працюють в сфері організації охорони здоров’я або які реалізовують медичне обладнання.
Ви належите до вищезазначених категорій осіб?