iFR Scout pullback technology reveals the physiologic profile of the entire vessel, so when you encounter diffuse disease or serial lesions you can make informed treatment decisions.

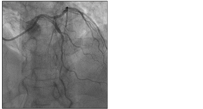
This angio shows both focal and diffuse disease.
Which areas are the most physiologically significant?

The iFR Scout pullback shows the most significant gradient in the mid-vessel lesion with diffuse proximal disease.

Physiology is more than a justification tool. Hyperemia-free iFR Scout pullback technology makes it easier to assess physiology before, during and after your procedure.

The physician chose to treat the distal two focal lesions with two drug eluting stents.

The iFR Scout pullback demonstrates a functional gain from 0.85 to 0.92.

Untethered steering – from tip to clip Experience the freedom of untethered steering from tip to clip.* Many factors impact wire performance including tip design, wire support, and torque response. Fundamental to guide wire handling is the ability to maneuver the wire untethered. The Verrata pressure guide wire quickly disconnects and reliably reconnects, freeing physicians to steer like a frontline wire.

Simplifies workflow iFR modality simplifies workflow by providing a hyperemia-free measurement to assess lesion significance in as few as five heartbeats. Philips' proprietary iFR modality has a robust body of clinical evidence with over 9000 patients in numerous studies and peer-reviewed journal articles.*
You are about to visit a Philips global content page
ContinueВеб-сайт призначений лише для лікарів та медичних працівників, які використовують медичне обладнання в своїй професійній діяльності; осіб, які працюють в сфері організації охорони здоров’я або які реалізовують медичне обладнання.
Ви належите до вищезазначених категорій осіб?